Notre Galerie de Réalisations
Découvrez les résultats réels de nos patients avant et après traitement. Chaque sourire est une success story dont nous sommes fiers


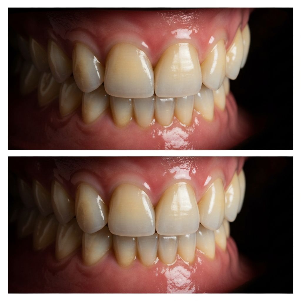
Transformation Complète du Sourire
Facettes complètes avec blanchiment et remodelage des gencives


Implants Multiples
Restauration complète des dents antérieures


Appareil Transparent
Correction de l'alignement en 18 mois


Lumineers pour Dents Antérieures
Amélioration de la couleur et de la forme sans meulage


Reconstruction Après Accident
Restauration des tissus et des dents


Implant Immédiat
Implant et pose le même jour


Hollywood Smile avec Blanchiment
Transformation complète de la couleur et de la forme


Invisalign - Appareil Invisible
Orthodontie sans appareils métalliques


Élimination des Cicatrices
Traitement des cicatrices faciales au laser fractionné


Reconstruction Osseuse de la Mâchoire
Chirurgie de la mâchoire et reconstruction osseuse complète


Implants Complets de la Mâchoire
Restauration complète avec All-on-4


Conception de Sourire Numérique
Facettes en porcelaine entièrement personnalisées
Toutes les images sont affichées avec le consentement des patients. Nous respectons la confidentialité de tous nos patients et respectons les normes de confidentialité médicale.
Prêt à transformer votre sourire ?
Rejoignez des centaines de patients satisfaits et obtenez les résultats dont vous rêvez
Réservez Votre Consultation Gratuite